I’m still trying to get back to a normal sleep schedule after my steroid shot on Wednesday. Wow, I’ve never had such side effects before. Last night I got a full deep sleep finally after I took a melatonin, so I’ll going to do that earlier in the evening tonight. I haven’t had this much energy in a long time, but my ankle still hurts, I guess because I keep jumping up to do stuff. Hopefully it will calm down this week before I head to John C. Campbell Folk School next Sunday.
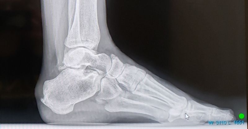
Because I LOVE x-rays, here’s two photos of the culprit. See that little hook on the back of my heel? Uh-huh. It sits right on my Achilles tendon.


Anyhow, my brain has started shifting toward anticipation of taking Bryant Holsenbeck‘s fiber recycled material animal sculpture class at John C. Campbell. It’s been a while since I’ve been to JCCFS and I am so looking forward to it! I hope it won’t be terribly hot, but so far we’ve been luckier in North Carolina than in other places. The heat index is still over 100 degrees because of the heavy humidity, but I have friends (hi, JQ) in places where the pavement melts.
I’ve been a Bryant Holsenbeck fan for years, ever since a good friend studied under her back in the early 90s. So when I saw that she was offering this class – Wrapping Wild: Making Animals Out of Recycled Materials (https://folkschool.configio.com/pd/1414/wrapping-wild-making-animals-out-of-recycled?txt=wrapping&cid=2527&returncom=productlist&source=search)- I jumped on it right away. Hmmm, what will I make? I like the idea of making an alligator, and that should be relatively simple for something to begin with. A fox would be nice. Of course I want to do birds but she doesn’t start us out with those because the balance issues of two legs. I do not lack for materials at all.
I still don’t understand why WP will let me embed some links but not others. Oh well.
I have a massage scheduled in a couple of hours, and my brain is much better since I’ve gotten a steady dose of vitamin D in my system now. And of course I’m weaving tapestry (next post). So all in all, I’m doing okay.
Leave a comment